Leukemia: Symptoms, Causes,Diagnosis and Treatment

Leukemia: Symptoms, Causes,Diagnosis and Treatment

Leukemia: Symptoms, Causes,Diagnosis and Treatment

Leukemia

Leukemia is a complex and life-threatening group of cancers that affect the blood-forming tissues of the body, primarily the bone marrow. It is characterized by the abnormal growth and development of blood cells, particularly white blood cells, which play a crucial role in the body’s immune system. This comprehensive article aims to delve into the world of leukemia, exploring its various types, symptoms, causes, and the importance of early detection and treatment.

What is Leukemia?

Leukemia is a cancer that originates in the blood-forming cells of the bone marrow. These cells, known as hematopoietic stem cells, have the ability to differentiate into different types of blood cells, including red blood cells, white blood cells, and platelets. In leukemia, the normal process of blood cell production is disrupted, leading to the uncontrolled growth of immature or abnormal blood cells.

Types of Leukemia

Leukemia can be classified into several types based on the type of blood cell affected and the rate of progression. The two main categories of leukemia are acute leukemia and chronic leukemia.

Acute Leukemia:

Acute Lymphoblastic Leukemia (ALL): ALL is the most common type of leukemia in children. It affects the lymphoid cells, which are responsible for producing lymphocytes, a type of white blood cell. In ALL, the bone marrow produces excessive amounts of immature lymphoid cells, known as lymphoblasts, which crowd out healthy blood cells.

Acute Myeloid Leukemia (AML): AML is a rapidly progressing leukemia that affects the myeloid cells, which give rise to red blood cells, white blood cells, and platelets. In AML, the bone marrow produces abnormal myeloid cells, leading to a decrease in healthy blood cells and an increased risk of infections and bleeding.

Chronic Leukemia:

Chronic Lymphocytic Leukemia (CLL): CLL is the most common type of leukemia in adults. It affects the lymphoid cells and is characterized by the slow accumulation of mature but abnormal lymphocytes in the blood and bone marrow. CLL often progresses slowly and may not require immediate treatment.

Chronic Myeloid Leukemia (CML): CML is a type of leukemia that progresses more slowly than acute leukemia. It affects the myeloid cells and is caused by a genetic abnormality known as the Philadelphia chromosome. CML typically responds well to targeted therapies.

Symptoms of Leukemia

The symptoms of leukemia can vary depending on the type and stage of the disease. Some individuals may experience no symptoms in the early stages, while others may present with a range of signs and symptoms. Here are some common symptoms associated with leukemia:

Fatigue and Weakness: Persistent fatigue and weakness are often the first noticeable symptoms. Individuals may feel extremely tired, even after resting, and may have difficulty performing daily activities.

Fever and Night Sweats: Leukemia can cause persistent fever and excessive sweating, especially at night. These symptoms may be accompanied by chills and a general feeling of illness.

Weight Loss: Unexplained weight loss, despite a normal or increased appetite, is a common symptom of leukemia.

Enlarged Lymph Nodes: Swollen or enlarged lymph nodes in the neck, armpits, or groin may be a sign of leukemia. These lymph nodes may be tender or painless.

Enlarged Spleen or Liver: Leukemia can lead to an enlarged spleen or liver, causing abdominal discomfort, pain, or a feeling of fullness.

Anemia: Leukemia can affect the production of red blood cells, leading to anemia. Symptoms of anemia include pale skin, weakness, shortness of breath, and fatigue.

Easy Bruising and Bleeding: Abnormal blood cell production can result in low platelet counts, causing easy bruising, frequent nosebleeds, and prolonged bleeding from minor cuts or injuries.

Bone Pain: Leukemia can cause bone pain, especially in the legs, back, or joints. This pain may be persistent or worsen with activity.

Infections and Recurrent Illnesses: Leukemia weakens the immune system, making individuals more susceptible to infections and recurrent illnesses. They may experience frequent colds, flu-like symptoms, or more severe infections.

Skin Changes: Some types of leukemia can cause skin changes, such as rashes, itchy skin, or the appearance of small red or purple spots (petechiae) due to bleeding under the skin.

It is important to note that these symptoms can also be associated with other medical conditions. Therefore, it is crucial to consult a healthcare professional for an accurate diagnosis.

Causes and Risk Factors

The exact causes of leukemia are not fully understood, but several factors are known to increase the risk of developing this disease. It is believed that a combination of genetic, environmental, and lifestyle factors contribute to the development of leukemia. Here are some key risk factors:

Genetic Factors: Certain genetic abnormalities and inherited syndromes can increase the risk of leukemia. For example, individuals with Down syndrome have a higher likelihood of developing acute leukemia.

Exposure to Radiation: Exposure to high levels of radiation, such as from atomic bomb explosions or radiation therapy for other cancers, can increase the risk of developing leukemia.

Chemical Exposure: Certain chemicals, such as benzene and formaldehyde, have been linked to an increased risk of leukemia.

Occupational exposure in industries like petroleum refining, rubber manufacturing, and chemical production may pose a higher risk.

Smoking: Smoking tobacco has been associated with an increased risk of developing acute myeloid leukemia (AML).

Previous Cancer Treatment: Individuals who have undergone chemotherapy or radiation therapy for other cancers may have a higher risk of developing leukemia, particularly acute myeloid leukemia (AML).

Viral Infections: Certain viral infections, such as the human T-lymphotropic virus (HTLV-1) and the Epstein-Barr virus (EBV), have been linked to an increased risk of specific types of leukemia.

Family History: Having a family history of leukemia or other blood disorders can slightly increase the risk. However, most cases of leukemia occur in individuals with no known family history.

Age and Gender: The risk of developing leukemia increases with age. Certain types of leukemia, such as chronic lymphocytic leukemia (CLL), are more common in older adults. Additionally, some types of leukemia, like acute lymphoblastic leukemia (ALL), are more prevalent in children.

Diagnosis and Treatment

Diagnosing leukemia typically involves a combination of medical history evaluation, physical examination, and various diagnostic tests. Here are the key steps in the diagnostic process:

Medical History and Physical Examination: The healthcare provider will take a detailed medical history, including any symptoms, family history, and potential risk factors. A physical examination will be conducted to assess the patient’s overall health and identify any signs of leukemia.

Blood Tests: Blood tests, such as complete blood count (CBC) and peripheral blood smear, are essential for diagnosing leukemia. These tests can reveal abnormal blood cell counts, the presence of immature cells, and other indicators of leukemia.

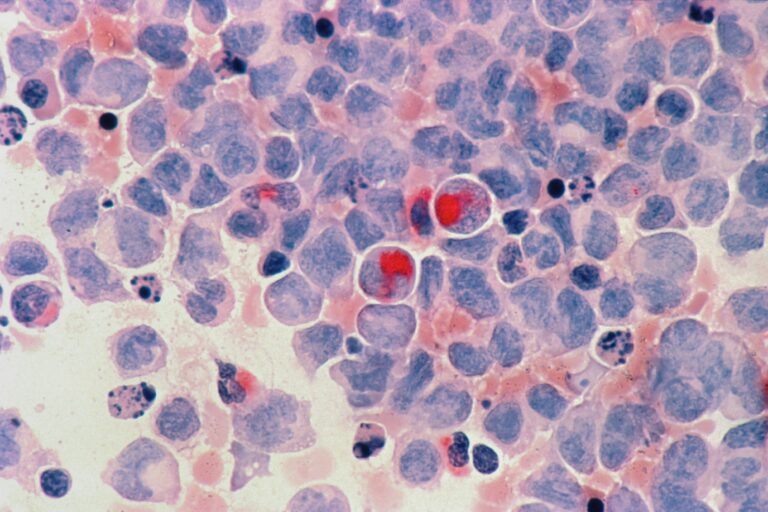
Bone Marrow Biopsy: A bone marrow biopsy is a procedure where a small sample of bone marrow is obtained, usually from the hip bone. This sample is examined under a microscope to identify the presence of leukemia cells and determine the type and stage of the disease.

Cytogenetic and Molecular Testing: Cytogenetic and molecular tests are performed to analyze the genetic makeup of the leukemia cells. These tests help identify specific chromosomal abnormalities and genetic mutations, which can provide valuable information for treatment planning.

Imaging Studies: Imaging tests, such as X-rays, CT scans, MRI scans, and ultrasound, may be used to assess the extent of the disease and identify any involvement of other organs or tissues.

Once a diagnosis of leukemia is confirmed, treatment options are determined based on the type, stage, and individual characteristics of the disease. The primary goal of treatment is to eliminate the leukemia cells and restore normal blood cell production. Here are some common treatment approaches:

Chemotherapy: Chemotherapy is the primary treatment for leukemia and involves the use of powerful drugs to kill cancer cells. The specific chemotherapy regimen depends on the type and stage of leukemia.

Targeted Therapy: Targeted therapies are designed to specifically attack certain molecular targets on leukemia cells. These therapies can be highly effective in treating specific types of leukemia.

Immunotherapy: Immunotherapy stimulates the patient’s immune system to recognize and attack leukemia cells. This approach has shown promising results in certain types of leukemia.

Radiation Therapy: Radiation therapy uses high-energy rays to target and destroy leukemia cells. It is often used in combination with other treatments or to prepare for a stem cell transplant.

Stem Cell Transplant: A stem cell transplant, also known as a bone marrow transplant, involves replacing the patient’s diseased bone marrow with healthy stem cells from a donor. This procedure is typically reserved for advanced or high-risk cases of leukemia.

Supportive Care: Supportive care focuses on managing the symptoms and side effects of leukemia and its treatment. This may include medications to control pain, prevent infections, and manage other complications.

Prognosis and Long-Term Management

The prognosis for leukemia varies depending on the type, stage, and individual factors. With advancements in medical research and treatment options, many individuals with leukemia can achieve long-term remission and improved quality of life. However, leukemia can be a challenging disease to manage, and ongoing medical care is essential.

Long-term management of leukemia often involves regular follow-up appointments with healthcare professionals to monitor the disease, assess treatment response, and manage any potential complications. Survivors of leukemia may require ongoing medical care to address late effects of treatment, such as organ damage or secondary cancers.

Prevention and Awareness

While it may not be possible to prevent all cases of leukemia, raising awareness and understanding the risk factors can help individuals make informed decisions to reduce their risk. Here are some preventive measures and awareness initiatives:

Avoiding Exposure to Risk Factors: Minimizing exposure to known risk factors, such as radiation, certain chemicals, and tobacco smoke, can lower the risk of developing leukemia.

Regular Health Check-ups: Regular medical check-ups and screenings can help detect early signs of leukemia or other health conditions. Early detection improves treatment outcomes.

Promoting Healthy Lifestyle Choices: Adopting a healthy lifestyle, including a balanced diet, regular exercise, and avoiding harmful substances, can contribute to overall well-being and potentially reduce the risk of leukemia.

Awareness Campaigns: Educational campaigns and initiatives can raise awareness about leukemia, its symptoms, risk factors, and the importance of early diagnosis and treatment.

Support for Patients and Families: Providing support and resources to individuals living with leukemia and their families can help them navigate the challenges of the disease and improve their quality of life.

Conclusion

Leukemia is a complex and diverse group of cancers that affect the blood and bone marrow. Understanding the symptoms, causes, and treatment options is crucial for early detection and effective management. With advancements in medical research and treatment modalities, many individuals with leukemia can achieve long-term survival and lead fulfilling lives. By raising awareness, promoting healthy choices, and supporting patients and their families, we can make a positive impact on the lives of those affected by leukemia.

MST Diya
Written by MST Diya Registered Nurse at Upazila Health Complex, Sylhet, Bangladesh